Un chip insertado en el ojo ha devuelto la vista a 32 personas
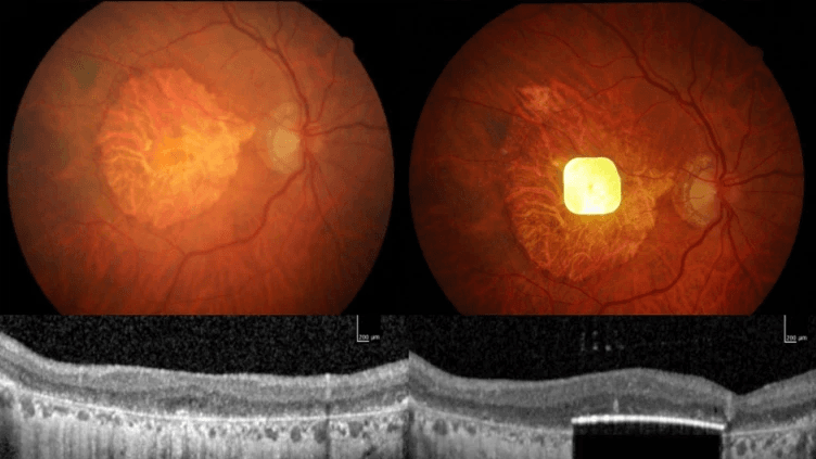
Casi todas las personas ciegas que participaron en un estudio recuperaron la visión gracias al implante experimental PRIMA, una red fotovoltaica de 30 micras de grosor, similar a una tarjeta SIM, que los cirujanos colocaron debajo de la retina para estimular las células responsables de la visión. Los pacientes, que habían perdido la vista por degeneración celular y atrofia asociada a la edad, lograron leer letras, números y palabras.
El sistema PRIMA integra un “chip” con electrodos y celdas solares y lo combina con unas gafas de sol especiales. Los anteojos incorporan una cámara que localiza el objetivo y un procesador que traduce esa información en un mapa de luz infrarroja, proyectado directamente al ojo. El implante recibe los pulsos y genera microcorrientes eléctricas que estimulan las células bipolares de la retina. La señal viaja por el nervio óptico hasta el cerebro, que la interpreta como imagen.
Los investigadores desarrollan esta tecnología desde 2012. Recientemente, la revista New England Journal of Medicine (NEJM) publicó un artículo revisado por pares con los resultados del primer ensayo clínico. 32 de los 38 participantes evaluados durante 12 meses (80%) recuperó la visión central y mejoró su agudeza visual desde el inicio hasta el final de la prueba (de las seis personas restantes, tres habían fallecido, una se retiró del estudio y dos no llegaron a las evaluaciones).
Para una clase de cegara sin tratamiento
Por ahora, el implante restaura únicamente la visión perdida por degeneración macular seca relacionada con la edad (DMAE seca). Esta enfermedad adelgaza la mácula, zona central del ojo responsable de la visión nítida, y destruye sus células bipolares. Casi siempre provoca visión central borrosa, necesidad de más luz para leer y dificultades para reconocer rostros. En fases avanzadas, propias de la tercera edad, aparece un punto ciego central. El paciente pierde la vista de manera progresiva e indolora.
El equipo responsable del experimento afirma que este dispositivo constituye el primer sistema “cerebro-computadora” capaz de permitir a las personas leer algunas páginas de un libro con un ojo considerado previamente “ciego”. El ensayo abre una vía crucial para futuras investigaciones, ya que no existe tratamiento para la DMAE seca.
A diferencia de otras prótesis retinianas, PRIMA se enfoca en restaurar la visión funcional de patrones y formas en colores blanco y negro. Otras tecnologías solo se enfocan en aumentar sensibilidad a la luz con baja resolución.

